澳門杜牙根—為啥牙齒表面只有一個小洞卻需要做根管治療
有一天,系度照鏡子嘅你,突然發現牙齒上有個黑點…你搏命地擦牙,但佢就系還喺!
	
	
牙齒上嘅小黑點究竟系乜?、
	
佢可能系蛀牙嘅前期表現!如果唔夠重視可能需要做根管治療,甚至會掹掉呢顆牙。
	
通常蛀牙有三種階段,各位對號入座:
-第一階段:牙齒咬合面有黑線,大牙一般最常見,講明開始蛀牙了,牙釉質被細菌齲壞,但唔痛唔痕,會出現窩溝齲得及時補牙,而唔系去洗牙
	
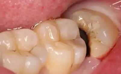
-第二階段:牙齒出現小黑洞,講明引起中度蛀牙,細菌腐蝕嚟到牙本質,伴隨着牙齒敏感,黑色腐敗物質其實就系細菌嘅產物,呢時候還可以再補牙
-第三階段:牙齒超過一半爛掉,講明已經重度蛀牙,細菌傷及牙髓牙神經,還伴隨着劇烈疼痛,牙黐線變呢時得根管治療處理,挽救傷痕累累嘅牙齒
	
怎樣逃過根管治療呢一劫?
	
當蛀牙才剛剛萌發陣進行治療,只需要簡單補牙就可以解決了;但當蛀牙侵害到牙髓和神經,就不得不根管治療了。 所以,如果蛀牙剛剛開始就被發現,及時治療、簡單修復便無大礙。但系蛀牙初期發生陣往往唔會有任何感覺,如果你已經感覺到酸楚抑或疼痛了,可能已經到了要做根管治療嘅階段,呢個時候真就耗時耗力又費錢了。
	
點樣才能避免咁嘅情況發生呢?
	
很簡單,定期嘅口腔檢查,建議至少6個月抑或1年到正規嘅口腔機構做一次系統嘅口腔檢查,有問題及早發現及時處理。
根管治療痛咩?
	
一般醫生會畀你局部麻醉,清除根部壞死嘅牙髓,抽出牙神經後就唔會咁痛,但有些牙齒根部長得歪,呢時抽神經嘅難度較大,所以麻醉過程中效果唔系很好,而插根管嘅數量得睇牙齒具體位置,前面嘅牙齒1~2根,像大牙呢種就得3~4根,插得越多難度就會增加。