+86 18165585927(ZhuHai)+853 62169054(Macau) +852 65585927(HongKong)

廣東話免費咨詢預約

點擊確定,免費向廣東話牙醫咨詢牙齒問題 +853 62169054

取消

確定

WhatsApp咨詢

點擊「珠海維港」或「深圳維港」,即可咨詢預約您就近的維港口腔,並申請免3D口腔CT掃描檢查、醫生問診金費用

WeChat 添加

點擊「打開wechat」進入微信,長按二維碼進行添加,添加即可預約
并申請免X-Ray、問診金費用

治蛀防蛀

孩子蛀牙唔用管,因爲遲早會換掉?錯!!!

前幾日娛娛嘅幼稚園進行咗牙齒檢查活動,小朋友返屋企好得意嘅同我哋講:醫生讚揚娛娛一顆黑牙都冇啊!

治蛀防蛀

細路【奶牙齲了】唔使理,換咗牙就得咯?

小朋友【乳牙蛀咗】唔洗理佢,換哂牙就得???呢句話岩曬幾多個細路!!!鄰居講,乳牙遲早要換,唔洗理佢,然後就變咗咁樣啦:

治蛀防蛀

可怕嘅奶樽蛀牙,請遠離寶寶啊!

3歲嘅男仔鵬鵬(化名)夜晚嗰陣總係喊喊叫、唔訓覺,經常用小指頭指住右上面嗰顆牙,喊住牙痛。原來,鵬鵬由細有揣住奶樽入睡嗰壞習慣,久而久之形成咗“奶樽齲”,一顆牙竟然壞咗16顆。

治蛀防蛀

孩子乳牙齲壞要補嗎-

局部影響:①奶牙早走咗,會令相鄰嘅牙齒傾斜去空位,上牙、下牙嘅齒咬關係有變,如果奶牙缺失嘅數目多;②乳牙長時間患慢性根周病,侵犯底下嘅永久牙萌芽,引致永久牙萌芽嘅琺瑯質形成障礙或發育不良,嚴重嘅情況令

治蛀防蛀

細路齲齒率高達71%,毀掉牙齒嘅唔係甜食同飲料,而係其他嘢!

牙齒係人體最硬嘅器官,隨住社會物質嘅發展變化,大家亦越來越注重牙齒嘅保護。快啲跟著面面一齊嚟睇睇預防兒童牙齒問題嘅幾大誤區啦!

治蛀防蛀

食薯片、飲咳藥... 呢啲損牙嘅習慣,你佔咗幾個?

有人諗到,“只要我少食糖,就唔会有蛀牙”。不过,糖只系令牙齿出问题嘅罪魁祸首之一。底面这些坏习惯,会对你嘅牙齿有唔同程度嘅影响,要你留意下。

治蛀防蛀

4歲寶寶15顆爛牙被全麻治療,媽媽們還在做這件事麽?澳門牙齒講奶瓶齲

自小含著奶瓶入眠,來源于長沙的4歲女寶小琳(筆名)一口牙爛了15顆,他在母親隨同出來漢,在全身麻醉狀況下由5位醫務人員接受治療4小時,一次治完後全部壞牙。小琳自小有入睡喝牛奶的習慣性,長此以往構成了“

治蛀防蛀

蛀牙補牙後注意事項有哪些

蛀牙補牙後注意事項有哪些蛀牙補牙後有哪些注意事項。補牙後的冠體其咀嚼功能較真兒牙差,因而補牙後需要注意口腔內部的安全防護,補牙後需要注意切勿咬過硬的食物。若齲齒比較大,樹脂補牙後,牙體修複後常常因爲冠

治蛀防蛀

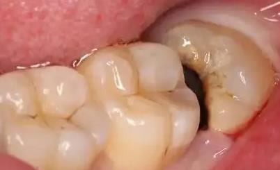
澳門牙醫科普,蛀牙系點樣發生嘅

如果講起牙齒,從小到大就有兩個字一直如影隨形,唔管系電視機里仲系父母長輩嘅叮囑中,呢兩個字出現嘅頻率≈聽話。冇錯,呢兩個字就系——蛀牙。今日,我哋就嚟傾傾關於蛀牙嘅話題。按照依家最主流嘅觀點,蛀牙嘅發