+86 18165585927(ZhuHai)+853 62169054(Macau) +852 65585927(HongKong)

廣東話免費咨詢預約

點擊確定,免費向廣東話牙醫咨詢牙齒問題 +853 62169054

取消

確定

WhatsApp咨詢

點擊「珠海維港」或「深圳維港」,即可咨詢預約您就近的維港口腔,並申請免3D口腔CT掃描檢查、醫生問診金費用

WeChat 添加

點擊「打開wechat」進入微信,長按二維碼進行添加,添加即可預約
并申請免X-Ray、問診金費用

美容修復

珠海維港口腔:澳門長者假牙修復的高性價比首選

對於不少澳門長者而言,隨著年齡增長,牙齒出現脫落或缺牙情況是常見問題。但長期缺牙唔單止影響進食咀嚼,導致無法食用較硬或纖維較多嘅食物,長遠更有機會引起營養不良、腸胃負擔加重、臉型改變等健康問題。根據研

美容修復

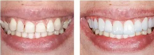
澳門全瓷牙貼面費用一般要多少錢?

牙貼面是微創美容修復,僅磨除極少量牙釉質(約0.3-0.5mm),以薄層瓷或者樹脂覆蓋牙齒,改善著色、缺損等問題,自然協調如天生。它保留天然牙結構,操作快、維持久,是解決輕度牙齒困擾、提升笑容自信的小

美容修復

澳門長者假牙價錢:普通的長者假牙一般要多少錢?

爲什麼建議缺牙長者佩戴長者假牙?長者假牙是專門為老年人設計的可拆卸式人工牙齒裝置,主要用於替代因老化、牙周病、蛀牙或意外缺失的自然牙齒。長期缺牙易導致長者無法咀嚼堅硬的食物。儅長者的正常進食受到影響時

美容修復

澳門牙冠價格

澳門牙冠套價格是在7000至10000左右,主要是有三種材料:金屬牙冠套、烤瓷牙冠套、全瓷牙冠套,價錢都會因材料不同而有差別

美容修復

澳門牙套價錢

牙套就是我們經常說的牙冠,這是一種為保護牙齒的牙科修復體。一般在種植牙、杜牙根之後都會做牙冠來修復。主要有以下作用:保護受損牙齒:當牙齒因爲蛀牙、外傷或者其他原因造成牙齒受損嘅時候,牙冠可以起到作用,

美容修復

澳門假牙價錢,點算價錢會甘貴

澳門嘅假牙市場以價格高昂同埋排隊時間長而聞名。對於好多需要牙科修復嘅患者嚟講,這兩個因素成為咗選擇假牙時嘅重要考慮。

美容修復

珠海牙冠套價格

烤瓷牙套和全瓷牙套的優缺點:烤瓷牙套特點:(1)價格親民,使其成為經濟預算有限患者的理想解決方案;

美容修復

那些年我們聽說嘅瓷貼面原來係甘樣

但係,無論點樣,牙貼面都需要留意護理。飲食方面要少食硬嘅野。雖然牙貼面可以用粘結劑牢牢固定在牙齒上,但有時候會鬆脫咗。

美容修復

烤瓷牙崩瓷點算?

  燒瓷牙崩瓷咗點算? 德拜口腔醫療 德拜口腔醫療