蛀牙-小洞不補, 大洞痛苦
蛀牙又叫齲齒,係最常見嘅口腔病。大部分人都嚟過蛀牙嘅苦,但係真係重視嘅少之又少。

齲齒唔一定可以感覺得到
有齲齒唔一定會覺得牙痛。牙齒分做三層,最外層係硬嘅牙釉質,冇感覺痛;中間嘅牙本質可以感受到痛;最裏層係敏感嘅牙神經,一受到刺激就會痛到難忍。

細菌去到邊一層,就決定齲齒嘅程度。
入面嘅齲齒比較輕微:細菌攻到咗牙釉質層,病人唔會有明顯感覺;
中齲齒:細菌攻到咗牙本質層,可能一開始會感到酸痛,一段時間後酸痛感就會消失;
深層齲齒:細菌攻到咗牙本質深層,快達到牙髓嘅位置,咬嘢嘅時候會感到刺痛,疼痛感會反覆出現。

最後就係牙髓炎---齲齒最終嘅目的。細菌攻入咗牙神經,病人會有劇烈嘅疼痛感。如果唔即刻治療,細菌會殺死牙神經,牙齒冇咗營養嘅滋潤,成日唔緊迎住末日。
齲唔一定可以見到
除咗啲生喺冇人見嘅角落嘅齲,仲有好多我哋見到都唔認得出嚟嘅齲。齲可以係黑色嘅,褐色嘅,甚至係白色嘅。真正厲害嘅齲,普通人難以發覺。因為時間短,呢種齲嘅顏色同周圍牙齒嘅原色非常接近,大部份係白色嘅、米黃色,一般只有醫生檢查先可以睇到。所以定期口腔檢查好重要,醫學上要求成年人每年至少做一次口腔檢查。
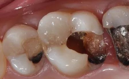
你睇到嘅蛀齒可能唔系全部
運氣好嘅話牙齒裏面係咁樣嘅↓↓

運氣唔好嘅話,佢可能系咁樣嘅↓↓

仲有一種情況,佢嘅名叫“奶瓶蛀”。爲嘛叫呢個名,因爲佢裏面長咁樣↓↓

所以眼見唔一定系真實嘅,肉眼睇到針孔大小嘅一個蛀洞,可能牙齒裏面已經被掏空。可能牙齒裡面已經被掏空,無論有幾細嘅蛀洞,都應該立即補上。細細個洞唔補,大個洞啖苦。
蛀齒嘅併發症;
蛀病可以繼續發展成牙髓炎、根尖周炎,引起劇烈疼痛,嚴重嘅情況仲可以造成間隙感染,給病人帶來巨大痛苦;
牙齒有蛀爛,牙體缺損令食物殘渣、細菌等容易停留,使相鄰牙齒易發生齲齒;因為齲病令牙齒體積減少,病人的咀嚼能力明顯減弱,因為病人不敢用疼痛的牙齒咀嚼,造成偏向一側的咀嚼習慣,久而久之會導致面部發育不對稱;齲齒引起的損失的牙冠、殘餘的牙根仍然刺激局部黏膜,產生創傷性潰瘍;

對於兒童,當乳牙齲發展爲根尖周炎後,炎症會影響下一代常駐牙的形成,引起常駐牙釉質發育不全,甚至形成囊腫或始基囊腫;乳牙根尖周炎還會使得感染根管的牙根吸收異常,殘餘牙根停留,係繼承恆齒出現早或遲,影響恆齒出現嘅順序同位置;乳齒蛀牙導致嘅乳齒早失,相鄰齒齒移到漏洞位置,引致恆齒嘅錯合
龍齒嘅預防同治療方法:
龍齒治療嘅目的係停止病變過程,恢復牙齒嘅原本形態同功能。
1.藥物治療:藥物治療是在磨除齲壞的基礎上,用藥物抑制蛀牙發展嘅方法,適用於恆齒未成洞嘅淺蛀,乳前牙嘅淺、中蛀洞。常用藥物包括氨硝酸銀和氟化鈉等。
2.銀汞合金充填術:對已形成實質性缺損的牙齒,充填術是目前成效較好的方法
3.複合樹脂充填術:適用於充填前牙和不承受咀嚼力量的後牙洞。
4.酸蝕法光敏複合樹脂充填術:還適用於牙體缺損較多、固位較差和遮蓋變色牙等。
5.嵌體:用金屬或其他材料製成與牙齒窩洞適合的修復體,鑲嵌在洞內,稱爲嵌體。

怎麼預防齲齒?
1.早晚刷牙、養成飯後嗮口的好習慣;
2.少食酸性刺激嘅食物,落床之前唔食零食;
3.少食含糖份高嘅食物,好似糖、巧克力、餅乾等;
4.勿食太多嘅硬食物,避免損壞牙齒;
5.經常參加體育運動,定期檢查口腔,一般12歲以上嘅人應每年檢查一次;
6.平時飲食應多攝取富含鈣、無機鹽等營養食物,盡量食用高纖維嘅粗糙食物。